2115 Rocky Drive, Paris, KY 40361, (859) 987-3290
Our team of dental specialists and staff strive to improve the overall health of our patients by focusing on preventing, diagnosing and treating conditions associated with your teeth and gums. Please use our dental library to learn more about dental problems and treatments available. If you have questions or need to schedule an appointment, contact us.
If you have never had a cavity, congratulations! If you have had one, you are not alone. About 78% of us have had at least one cavity by the time we reach age 17, according to a 2000 report by the U.S. Surgeon General. Fortunately there's a time-tested treatment for cavities: the dental filling.
Fillings do just what the name implies — seal a small hole in your tooth, i.e., a cavity, caused by decay. This prevents the decay (a bacteria-induced infection) from spreading further into your tooth and, if untreated, continue on to the sensitive inner pulp (nerve) tissue located in the root canal. Should that happen, you would need root canal treatment.
There are a variety of materials used to fill teeth these days, but the process of filling a tooth is similar regardless. The first step is a clinical exam of the tooth with x-rays, to determine the extent of the decay. Then the decayed area of the tooth is removed, usually with a handheld instrument such as a dental drill. Of course, your tooth will be anesthetized first, so you won't feel any discomfort. If you normally feel nervous about receiving numbing injections, it's possible that taking an anti-anxiety medication or using nitrous oxide can help you feel more relaxed. After removing the decay, the remaining tooth structure is roughened or “etched” with a mildly acidic solution; then translucent cement is applied to bond the tooth and the filling material together.
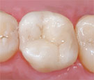
There are two broad categories of dental fillings: metal fillings and tooth-colored fillings. Each may offer particular advantages and disadvantages in certain situations.

Amalgam — The classic “silver” filling in use for more than a century, dental amalgam is actually an alloy made up of mercury, silver, tin, and copper. The mercury combines with the other metals in the amalgam to make it stable and safe. These fillings are strong and inexpensive, but also quite noticeable. They also require relatively more tooth preparation (drilling) than other types.
Cast Gold — Among the most expensive restorative dental materials, cast gold combines gold with other metals for a very strong, long-lasting filling. It is also highly noticeable, which can be considered a plus or minus.

Composite — A popular choice for those who don't want their fillings to show, composite is a mixture of plastic and glass, which actually bonds to the rest of the tooth. Composites are more expensive than amalgam fillings, and the newer materials can hold up almost as long. Less drilling of the tooth is necessary when placing composite as compared to amalgam.
Porcelain — These high-tech dental ceramics are strong, lifelike, and don't stain as composites can. They are sometimes more expensive than composites because they may require the use of a dental laboratory or specialized computer-generated technology. While considered the most aesthetic filling, they can also, because of their relatively high glass content, be brittle.
Glass Ionomer — Made of acrylic and glass powders, these inexpensive, translucent fillings have the advantages of blending in pretty well with natural tooth color and releasing small amounts of fluoride to help prevent decay. They generally don't last as long as other restorative materials.
Watch Tooth-Colored Fillings Video
The numbness caused by your local anesthesia should wear off within a couple of hours. Until then, it's best to avoid drinking hot or cold liquids, and eating on the side of your mouth with the new filling. Some sensitivity to hot and cold is normal in the first couple of weeks after getting a tooth filled. If it persists beyond that, or you have any actual pain when biting, it could signal that an adjustment to your filling needs to be made. Continue to brush and floss as normal every day, and visit the dental office at least twice per year for your regular checkups and cleanings. And remember, tooth decay is a very preventable disease; with good oral hygiene and professional care, you can make your most recent cavity your last!
The Natural Beauty of Tooth-Colored Fillings The public's demand for aesthetic tooth-colored (metal free) restorations (fillings) together with the dental profession's desire to preserve as much natural tooth structure as possible, has led to the development of special “adhesive” tooth-colored restorations... Read Article
Tooth Decay — A Preventable Disease Tooth decay is the number one reason children and adults lose teeth during their lifetime. Yet many people don't realize that it is a preventable infection. This article explores the causes of tooth decay, its prevention, and the relationship to bacteria, sugars, and acids... Read Article
Tooth Decay – How To Assess Your Risk Don't wait for cavities to occur and then have them fixed — stop them before they start. Modern dentistry is moving towards an approach to managing tooth decay that is evidence-based — on years of accumulated, systematic, and valid scientific research. This article discusses what you need to know to assess your risk and change the conditions that lead to decay... Read Article