Online Dental Education Library

Our team of dental specialists and staff strive to improve the overall health of our patients by focusing on preventing, diagnosing and treating conditions associated with your teeth and gums. Please use our dental library to learn more about dental problems and treatments available. If you have questions or need to schedule an appointment, contact us.

Fluoride Toothpaste.Fluoride is a mineral that is naturally present to some degree in both fresh and salt water sources. Its major dental benefit is that it is readily incorporated into the teeth's mineral structure, thereby making them stronger and more decay-resistant. Fluoride can even reverse tiny cavities that are starting to form. Less tooth decay means you have a better chance of avoiding significant dental treatments — and keeping your natural teeth for life.

The great majority of toothpastes sold today contain fluoride, because it's an effective, easy and inexpensive way to prevent tooth decay and promote oral health. Because of its proven health benefits, fluoride is often added to municipal water supplies to bring them to the current recommended level of 0.70 parts per million. In fact, the federal Centers for Disease Control and Prevention recently named community water fluoridation as one of the most significant public health achievements of the 20th century.

Making Fluoride Available to the Teeth

Fluoride can be delivered to teeth in two ways: topically (on the surface) and systemically (through the body). The first method helps people of all ages; the latter is only beneficial in childhood while the permanent teeth are forming beneath the gum line — up to about age 9.

Fluoride ingested in drinking water can reach teeth both ways. When swallowed, it travels through the body and becomes incorporated into developing teeth; it also stays in the mouth throughout the day in a very low concentration. Toothpaste and mouthwashes provide higher concentrations over shorter periods of time. Fluoride can also be applied directly to the teeth at the dental office; children who get their water from unfluoridated sources may be prescribed a fluoride supplement in the form of pills or drops.

How Much Do You Need?

Tooth Caries Balance.

The amount of fluoride you need varies according to your particular risk for decay, which is determined by many factors: your body's own biochemistry, your diet, the amount of fluoride you come into contact with daily, and the effort you put into your own oral hygiene. If you maintain an effective daily routine of brushing and flossing, and avoid sugary and/or acidic foods and beverages, your decay risk will likely be low. If you are lax about oral hygiene, drink soda and snack throughout the day, your risk will be much higher.

Poor oral hygiene and constant intake of sweets make an ideal environment for decay-causing bacteria, which need sugar to thrive. In the process of digesting that sugar, they create tooth-eroding acids as a byproduct. And if you drink beverages that are already acidic — soda, sports drinks, energy drinks, even some fruit juices — you are applying those tooth-destroying acids directly to your teeth without using bacteria as a middleman. In that case, you might benefit from fluoride treatments at the dental office and/or regular use of a fluoride mouthrinse.

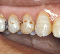
Fluorosis.However, there is such a thing as too much fluoride — particularly when it comes to children. If developing teeth absorb too much fluoride, they can become permanently stained or even pitted — a condition referred to as enamel fluorosis. It is not dangerous, but may require cosmetic dental work. That's why young children should not be allowed to swallow fluoride toothpaste. Adults who take in excessive fluoride throughout their lifetimes may become more prone to bone fractures or tenderness, a condition known as skeletal fluorosis. Severe forms of enamel or skeletal fluorosis are not common in the United States. Still, given that excessive doses of fluoride could cause problems, it's best to consult a dental professional on the most appropriate products for you and your child to use.

Related Articles

Fluoride - Dear Doctor Magazine

Fluoride and Fluoridation in Dentistry The Center for Disease Control says that water fluoridation is “One of the ten most important public health measures of the 20th century.” Extensive systematic reviews of the evidence conclusively show that water fluoridation and fluoride toothpastes both substantially reduce dental decay. Learn why through the amazing fluoride story... Read Article

Topical Fluoride - Dear Doctor Magazine

Topical Flouride Fluoride has a unique ability to strengthen tooth enamel and make it more resistant to decay. That's why dentists often apply it directly to the surfaces of children's teeth after routine dental cleanings. This surface (topical) application can continue to leach fluoride into the tooth surface for a month or more... Read Article

Tooth Decay - Dear Doctor Magazine

Tooth Decay — A Preventable Disease Tooth decay is the number one reason children and adults lose teeth during their lifetime. Yet many people don't realize that it is a preventable infection. This article explores the causes of tooth decay, its prevention, and the relationship to bacteria, sugars, and acids... Read Article